
5 / 12

Riñón horizontalizado
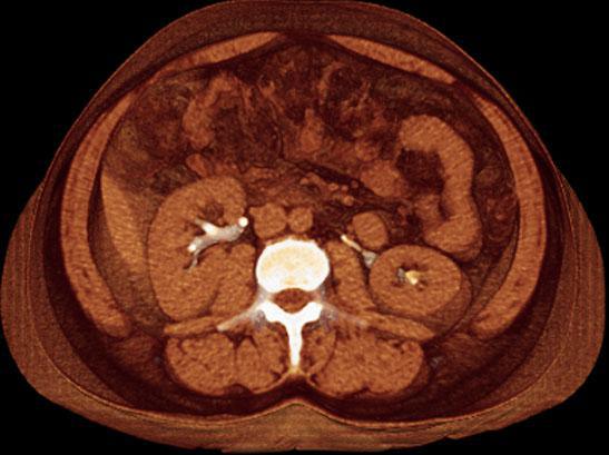
VR seccional. Visión axial caudal. Existe una asimetría de morfología y tamaño entre ambos riñones secundaria a una horizontalización del riñón derecho
Comentarios
Sin comentarios
Sé el primero en publicar un comentario


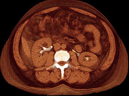
VR seccional. Visión axial caudal. Existe una asimetría de morfología y tamaño entre ambos riñones secundaria a una horizontalización del riñón derecho