
2 / 12

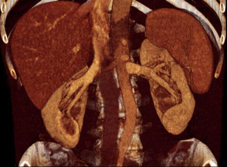
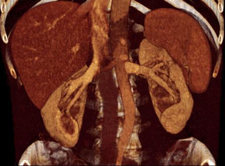
Malrotación renal anterior
VR seccional. Visión coronal anterior mostrando ambos senos renales en situación anterior
Comentarios
Sin comentarios
Sé el primero en publicar un comentario


VR seccional. Visión coronal anterior mostrando ambos senos renales en situación anterior