
15 / 16

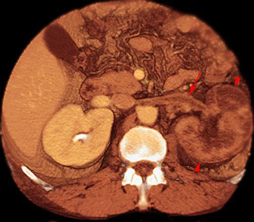
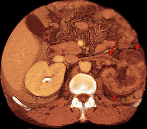
Trombosis venosa renal
VR seccional. Visión axial caudal. Riñon izquierdo aumentado de tamaño con disminución de su contrastación y edema perirrenal (puntas de flecha). Trombo en la vena renal izquierda (flecha)
Comentarios
Sin comentarios
Sé el primero en publicar un comentario