
12 / 16

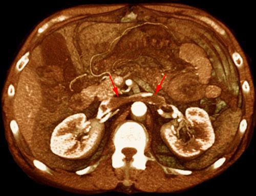
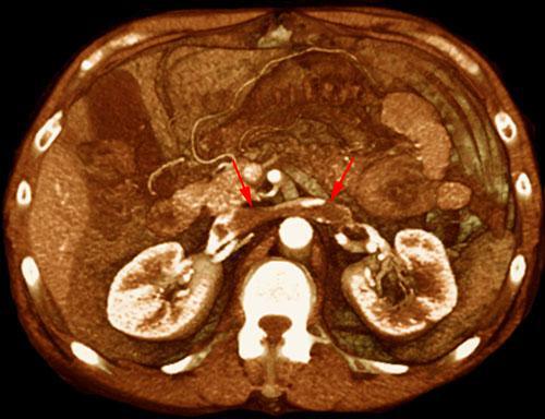
Trombosis de la vena renal izquierda
VR seccional. Visión axial caudal. TC contrastado en fase arterial mostrando un trombo ocupando la vena renal izquierda hasta la vena cava inferior (flechas)
Comentarios
Sin comentarios
Sé el primero en publicar un comentario