
8 / 16

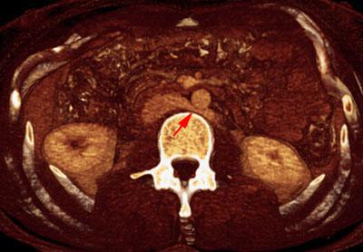
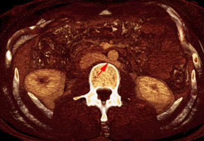
Síndrome del cascanueces retroaórtico
VR seccional. Visión axial caudal. TC contrastado en fase venosa que muestra una estenosis de la vena renal izquierda retroaórtica (flecha) a su paso entre aorta abdominal y cuerpo vertebral
Comentarios
Sin comentarios
Sé el primero en publicar un comentario