
7 / 16

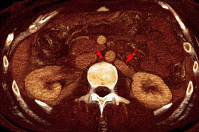
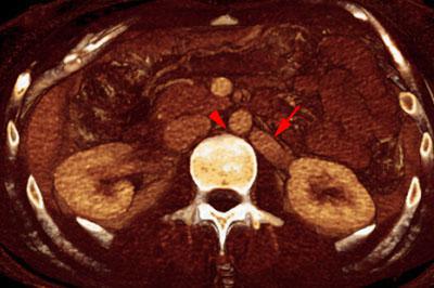
Síndrome del cascanueces retroaórtico
VR seccional. Visión axial caudal. TC abdominal contrastado en fase venosa que muestra una discreta dilatación de la vena renal izquierda (flecha). Existe una disminución del espacio entre aorta abdominal y cuerpo vertebral (punta de flecha)
Comentarios
Sin comentarios
Sé el primero en publicar un comentario