
14 / 19

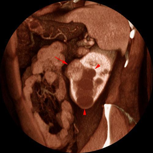
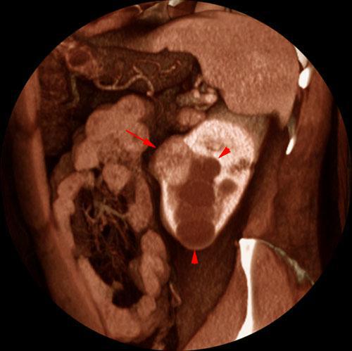
Quiste renal multitabicado e hipernefroma
VR seccional. Visión sagital izquierda. Lesión nodular sólida en valva anterior del riñón izquierdo sugestiva de hipernefroma (flecha). Lesión quística multitabicada asociada (puntas de flecha) sin captación del contraste
Comentarios
Sin comentarios
Sé el primero en publicar un comentario