
13 / 19

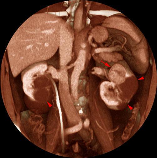
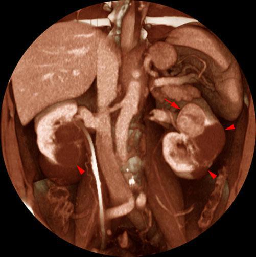
Quiste renal multitabicado e hipernefroma
VR seccional. Visión coronal anterior. Lesión nodular sólida (flecha) en valva anterior del riñón izquierdo sugestiva de hipernefroma. Lesiones quísticas multitabicadas asociadas (puntas de flecha) en ambos riñones. Catéter doble J en riñón derecho
Comentarios
Sin comentarios
Sé el primero en publicar un comentario