
12 / 19

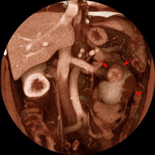
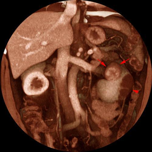
Quiste renal multitabicado e hipernefroma
VR seccional. Visión coronal anterior. Lesión nodular sólida en valva anterior del riñón izquierdo sugestiva de hipernefroma. Lesión quística tabicada asociada (punta de flecha)
Comentarios
Sin comentarios
Sé el primero en publicar un comentario