
11 / 19

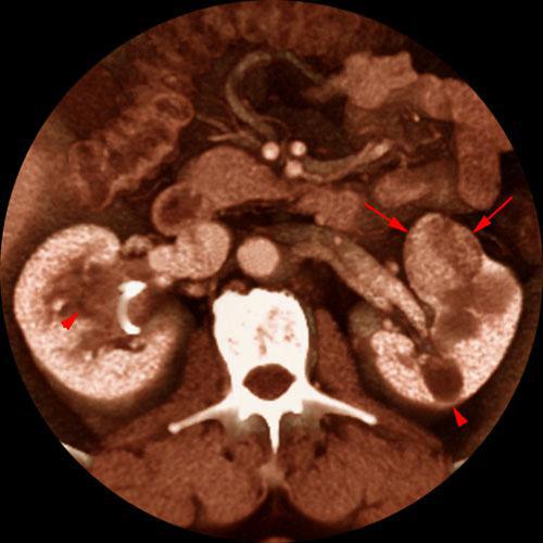
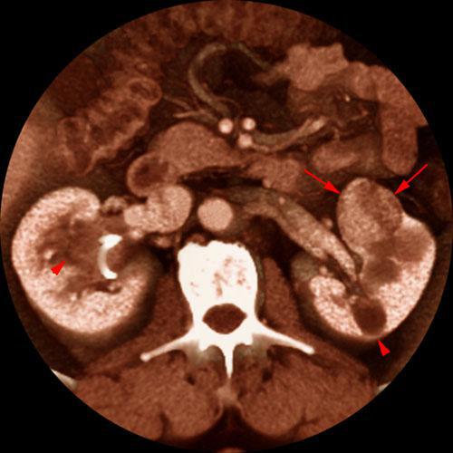
Quiste renal multitabicado e hipernefroma
VR seccional. Visión axial caudal. Lesión nodular sólida en valva anterior del riñón izquierdo (flechas) altamente sugestiva de hipernefroma. Lesiónes quísticas asociadas (puntas de flecha) en ambos riñones, una de ellas multitabicada
Comentarios
Sin comentarios
Sé el primero en publicar un comentario