
9 / 19

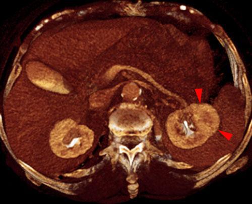
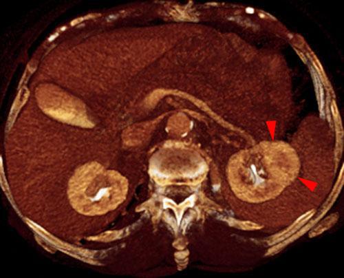
Quiste renal hemorrágico
VR seccional. Visión axial caudal. En esta serie contrastada se visualiza una lesión nodular (puntas de flecha) de aspecto heterogéneo con captación del contraste. El diagnóstico anatomopatológico fue quiste hemorrágico
Comentarios
Sin comentarios
Sé el primero en publicar un comentario