
4 / 19

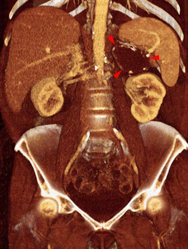
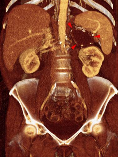
Quiste renal calcificado
VR seccional. Visión coronal anterior. Lesión quística con calcificaciones periféricas (puntas de flecha) en polo renal superior izquierdo. No existen captaciones anómalas del contraste
Comentarios
Sin comentarios
Sé el primero en publicar un comentario