
3 / 19

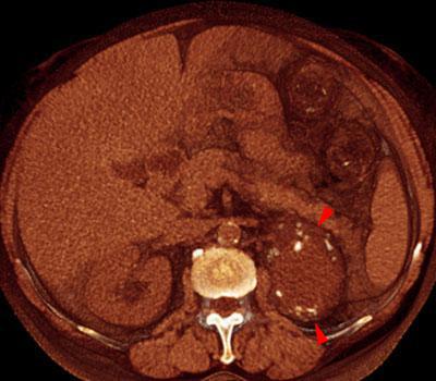
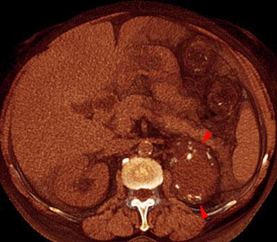
Quiste renal calcificado
VR seccional. Visión axial caudal. Estudio no contrastado que muestra, por detrás de la cola del páncreas, una lesión quística (puntas de flecha) con calcificaciones en su periferia
Comentarios
Sin comentarios
Sé el primero en publicar un comentario