
14 / 15

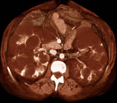
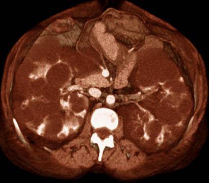
Poliquistosis renal
VR secccional. Visión axial caudal. Múltiples quistes bilaterales provocando un aumento de tamaño de ambos riñones
Comentarios
Sin comentarios
Sé el primero en publicar un comentario


VR secccional. Visión axial caudal. Múltiples quistes bilaterales provocando un aumento de tamaño de ambos riñones