
11 / 15

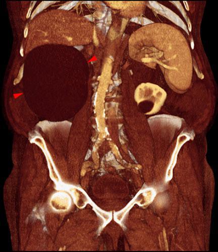
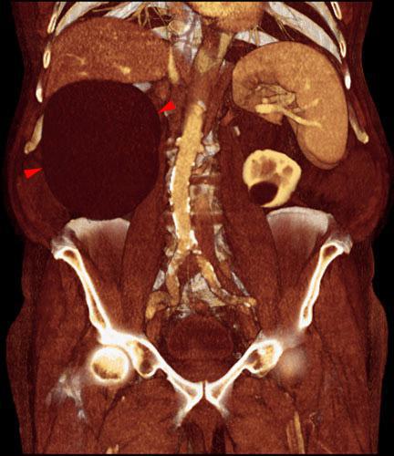
Quiste renal simple
VR seccional. Visión coronal anterior. Gran lesión quística (puntas de flecha) ocupando la fosa renal derecha con discreta compresión del lóbulo derecho hepático. Pequeño quiste cortical renal izquierdo
Comentarios
Sin comentarios
Sé el primero en publicar un comentario