
10 / 15

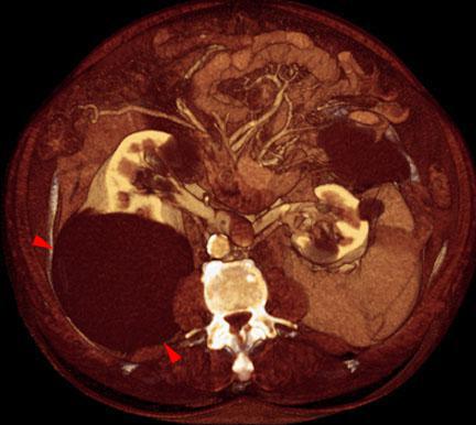
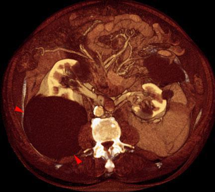
Quiste renal simple
VR seccional. Visión axial caudal. Gran lesión quística (puntas de flecha) en la cara posterior del riñón derecho. En ambos riñones se visualizan pequeños quistes corticales asociados
Comentarios
Sin comentarios
Sé el primero en publicar un comentario