
19 / 19

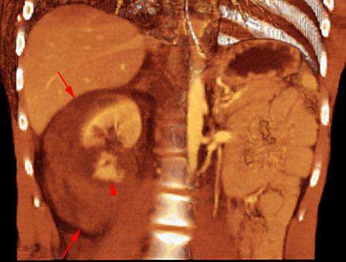
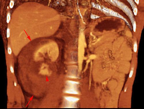
Estallido renal
VR seccional. Visión coronal anterior. AngioTC de aorta abdominal mostrando hematoma perirrenal (flechas) y fragmentación del parenquima renal (punta de flecha)
Comentarios
Sin comentarios
Sé el primero en publicar un comentario