
18 / 19

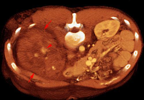
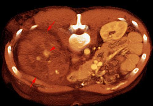
Estallido renal
VR seccional. Visión axial cenital. AngioTC aórtico mostrando un gran hematoma perirrenal (flechas). Se visualizan pequeños fragmentos contrastados del parenquima renal (punta de flecha)
Comentarios
Sin comentarios
Sé el primero en publicar un comentario