
12 / 19

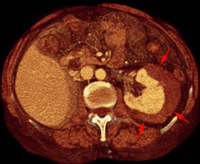
Hematoma subcapsular
VR seccional. Visión axial caudal. Serie contrastada en fase venosa que muestra una inversión de la densidades, visualizándose el hematoma subcapsular (flechas) mas hipodenso que el parenquima renal contrastado
Comentarios
Sin comentarios
Sé el primero en publicar un comentario