
11 / 19

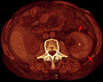
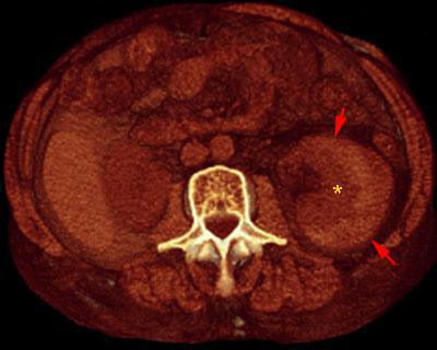
Hematoma subcapsular
VR seccional. Visión axial caudal. Serie no contrastada que muestra una colección hiperdensa (flechas) por fuera del parenquima renal (*), mas hipodenso, correspondiente a hematoma subcapsular
Comentarios
Sin comentarios
Sé el primero en publicar un comentario