
8 / 19

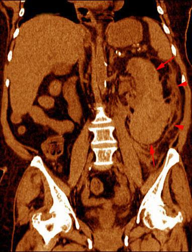
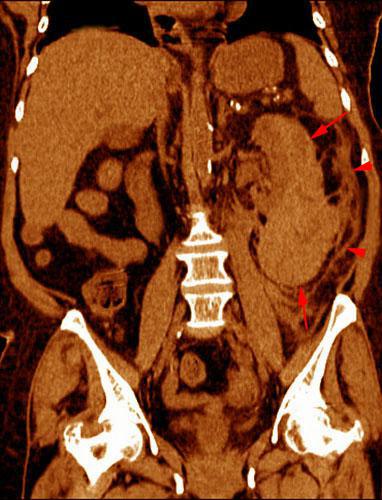
Hematoma subcapsular y perirrenal
VR seccional. Visión coronal anterior. Exploración no contrastada que muestra un hematoma subcapsular protuyendo en el espacio perirrenal (flechas). Obsérvese la infiltración hemática de la cápsula de Gerota (puntas de flecha)
Comentarios
Sin comentarios
Sé el primero en publicar un comentario