
7 / 19

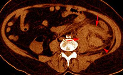
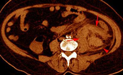
Hematoma subcapsular y perirrenal
VR seccional. Visión axial caudal. Exploración no contrastada que muestra un hematoma en el espacio perirrenal (flechas).Obsérvese la infiltración hemática de la cápsula de Gerota (punta de flecha)
Comentarios
Sin comentarios
Sé el primero en publicar un comentario