
3 / 19

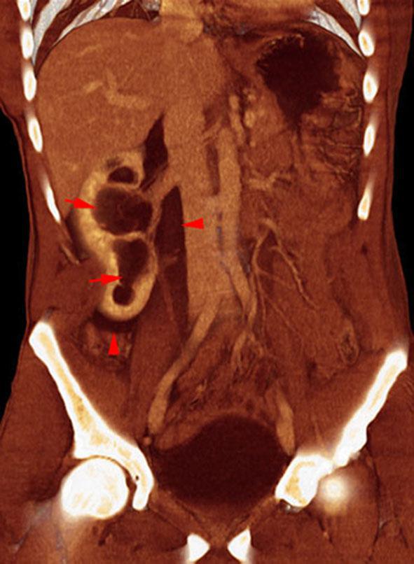
Rotura pielocalicial
VR seccional. Visión coronal anterior. TC contrastado en fase venosa. Nefromegalia derecha. Hidronefrosis (flechas) con presencia de líquido en los espacios pararrenal anterior y perirrenal (puntas de flecha). Integridad de uréter y pedículo vascular
Comentarios
Sin comentarios
Sé el primero en publicar un comentario