
2 / 19

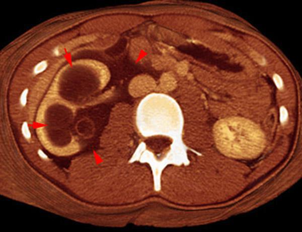
Rotura pielocalicial
VR seccional. Visión axial caudal. TC contrastado en fase venosa. Varón de 18 años con traumatismo abdominal. Nefromegalia derecha. Hidronefrosis (flechas) con presencia de líquido en los espacios pararrenal anterior y perirrenal (puntas de flecha)
Comentarios
Sin comentarios
Sé el primero en publicar un comentario