
17 / 19

Angiomiolipoma renal 2
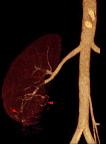
VR 3D Visión anterior. AngioTC renal que muestra vasos sanguineos prominentes (puntas de flecha) dentro del tumor
Comentarios
Sin comentarios
Sé el primero en publicar un comentario


VR 3D Visión anterior. AngioTC renal que muestra vasos sanguineos prominentes (puntas de flecha) dentro del tumor