
11 / 19

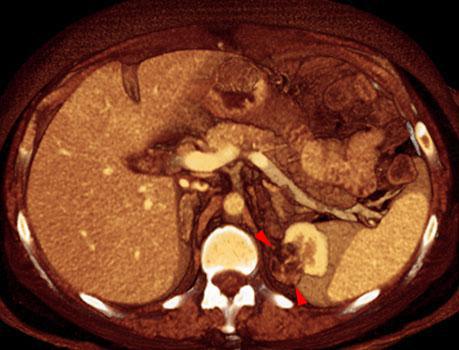
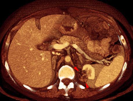
Angiomiolipoma renal 1
VR seccional. Visión axial caudal. TC contrastado en fase venosa que muestra una lesión cortical en el polo renal superior izquierdo (puntas de flecha) heterogénea, con contenido graso, confirmando este diagnóstico
Comentarios
Sin comentarios
Sé el primero en publicar un comentario