
8 / 19

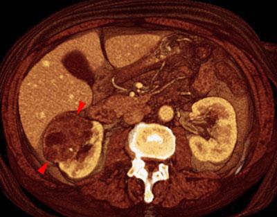
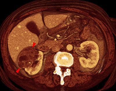
Nefroma quístico multilocular
VR seccional. Visión axial caudal. TC contrastado en fase venosa que muestra lesión quística encapsulada y multiloculada (puntas de flecha) que se extiende hacia el hilio renal
Comentarios
Sin comentarios
Sé el primero en publicar un comentario