
4 / 19

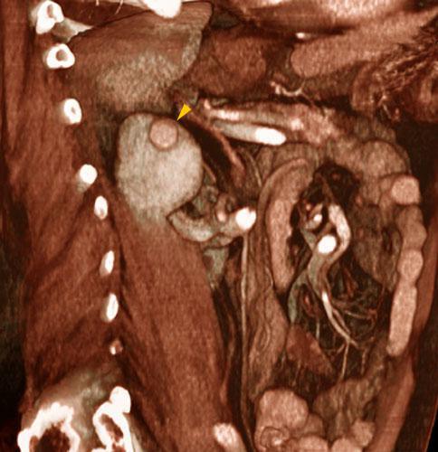
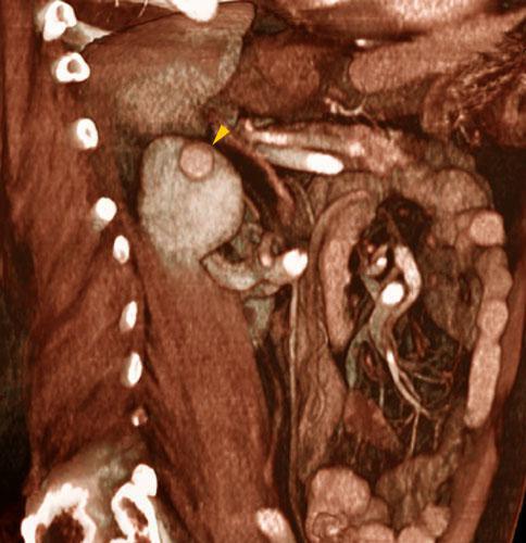
Oncocitoma
VR seccional Visión sagital derecha. Lesión cortical, exofítica (punta de flecha), de bordes bien definidos, en polo renal superior izquierdo. El diagnóstico definitivo precisa de una resección quirúrgica
Comentarios
Sin comentarios
Sé el primero en publicar un comentario