
20 / 20

Tumor del seno renal
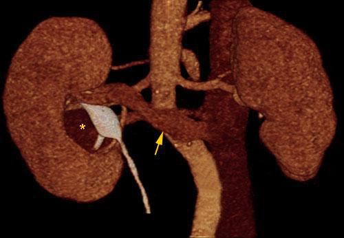
VR 3D Visión posterior. Tumor del seno renal izquierdo (*) sin invasión de pelvis rénal. Vena renal izquierda de situación retroaórtica (flecha)
Comentarios
Sin comentarios
Sé el primero en publicar un comentario


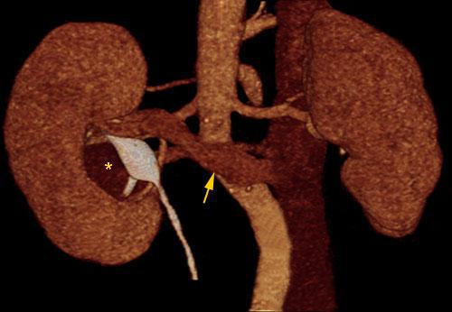
VR 3D Visión posterior. Tumor del seno renal izquierdo (*) sin invasión de pelvis rénal. Vena renal izquierda de situación retroaórtica (flecha)