
17 / 20

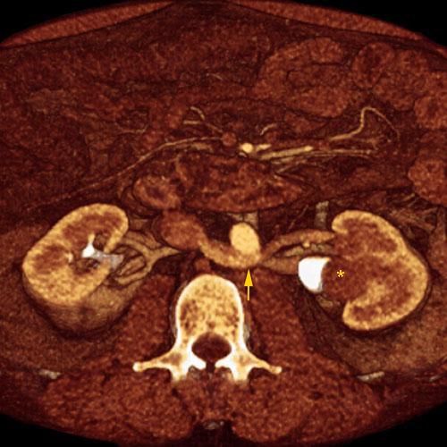
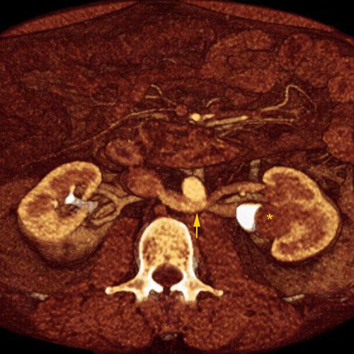
Tumor del seno renal
VR seccional. Visión axial caudal. TC contrastado en fase arterial que muestra una tumoración sólida (*) del seno renal izquierdo con compresión de la pelvis renal. Vena rena izquierda (flecha) de situación retroaórtica
Comentarios
Sin comentarios
Sé el primero en publicar un comentario