
14 / 20

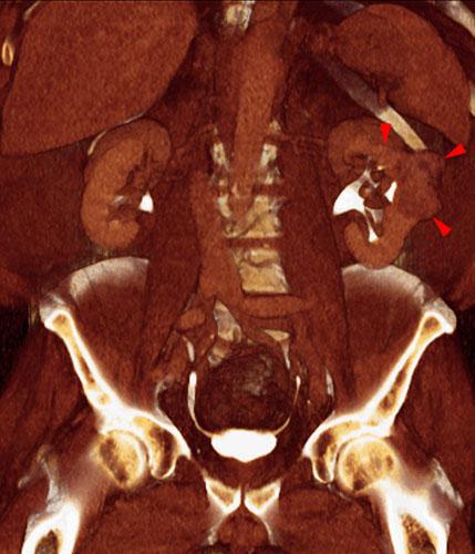
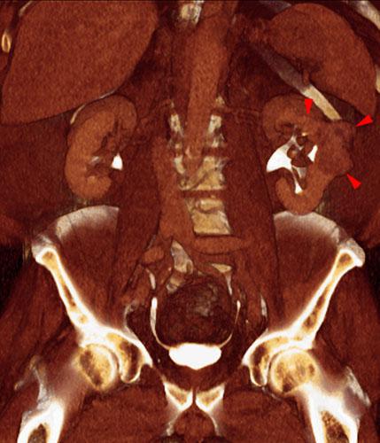
Hipernefroma 2
VR seccional. Visión coronal anterior. TC contrastado en fase excretora que muestra en el riñón izquierdo una tumoración sólida, polilobulada (puntas de flecha), sin invasión de la vía urinaria
Comentarios
Sin comentarios
Sé el primero en publicar un comentario