
12 / 20

Hipernefroma 2
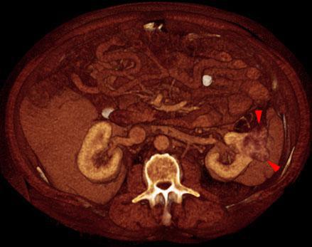
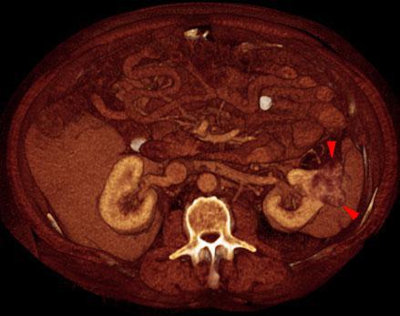
VR seccional. Visión axial caudal. TC contrastado en fase venosa que muestra en el riñón izquierdo una tumoración sólida y polilobulada (puntas de flecha), con captación del contraste
Comentarios
Sin comentarios
Sé el primero en publicar un comentario