
7 / 20

Hipernefroma 1
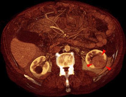
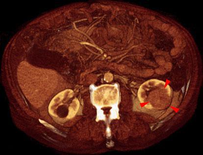
VR seccional. Visión axial caudal. Estudio contrastado en fase venosa que muestra en el riñón izquierdo una tumoración sólida (puntas de flecha), con realce del contraste, extendiéndose desde la cortical al seno renal
Comentarios
Sin comentarios
Sé el primero en publicar un comentario