
2 / 20

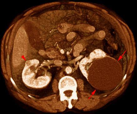
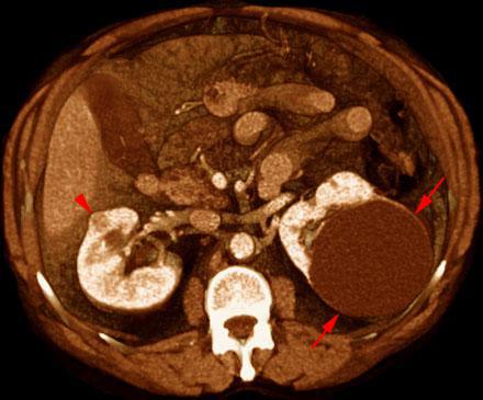
Pequeño hipernefroma
VR seccional. Visión axial caudal. En estudio de TC abdominal contrastado en fase venosa, junto a un quiste renal simple (flechas) incidentalmente se visualiza un pequeño nódulo cortical renal derecho (punta de flecha) con captación de contraste
Comentarios
Sin comentarios
Sé el primero en publicar un comentario