
19 / 19

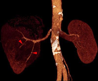
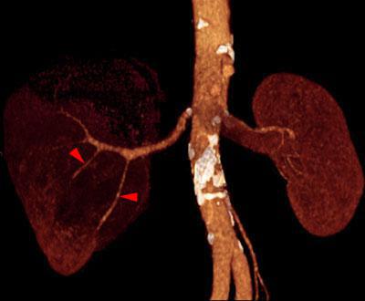
Tumor renal necrosado
VR 3D Visión anterior. AngioTC renal en fase arterial que pone de manifiesto la elongación y desplazamiento arterial (puntas de flecha) por la masa tumoral
Comentarios
Sin comentarios
Sé el primero en publicar un comentario