
16 / 19

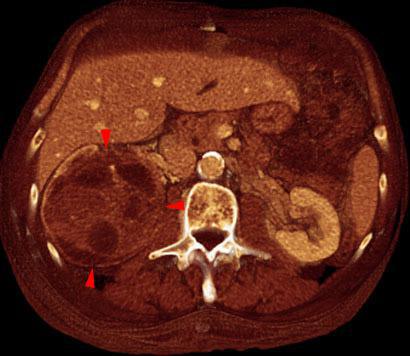
Tumor renal necrosado
VR seccional. Visión axial caudal. TC contrastado en fase venosa que muestra una gran tumoración heterogénea del riñón derecho, alternando zonas líquidas o necroticas junto a áreas sólidas (puntas de flecha)
Comentarios
Sin comentarios
Sé el primero en publicar un comentario