
12 / 19

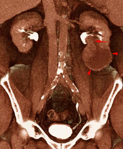
Tumor renal. Invasión de vía urinaria
VR seccional. Visión coronal anterior. TC contrastado en fase excretora. Tumor del polo renal inferior izquierdo con una zona necrótica (puntas de flecha) y una zona sólida que infiltra la pelvis renal (flecha)
Comentarios
Sin comentarios
Sé el primero en publicar un comentario