
9 / 19

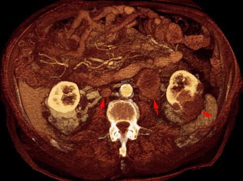
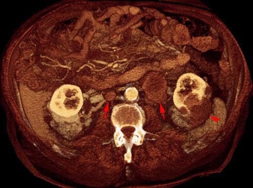
Hipernefroma. Adenopatías
VR seccional. Visión axial caudal. Estudio contrastado en fase arterial que pone de manifiesta una tumoración en el cortex renal izquierdo (punta de flecha) y adenopatías retroperitoneales paraaórtica izquierda y paracava (flechas)
Comentarios
Sin comentarios
Sé el primero en publicar un comentario