
7 / 19

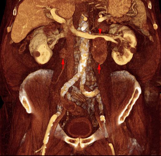
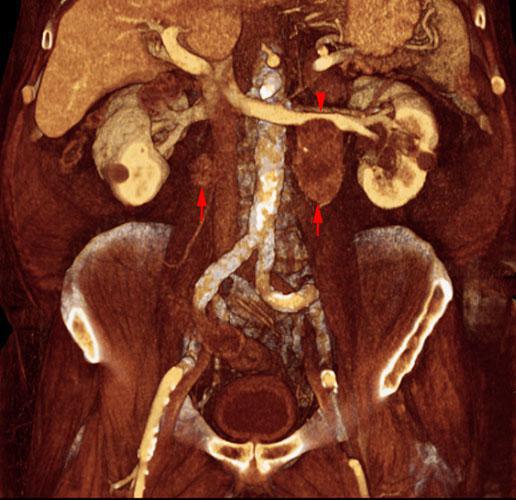
Hipernefroma. Adenopatías
VR seccional. Visión coronal anterior. Adenopatías retroperitoneales (flechas) paracava en lado derecho y paraaórtica, de mayor tamaño, en el lado izquierdo, cuyo borde superior infiltra el borde inferior de la vena renal izquierda (punta de flecha)
Comentarios
Sin comentarios
Sé el primero en publicar un comentario