
6 / 19

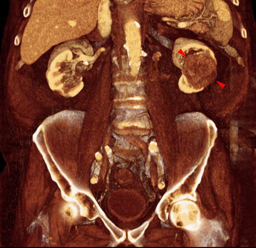
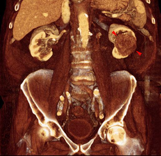
Hipernefroma. Adenopatías
VR seccional. Visión coronal anterior. TC contrastado en fase arterial que pone de manifiesto una tumoración sólida del riñon izquierdo (puntas de flecha), que se extiende desde el cortex hasta el seno renal
Comentarios
Sin comentarios
Sé el primero en publicar un comentario