
4 / 19

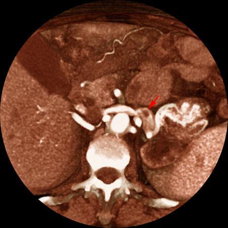
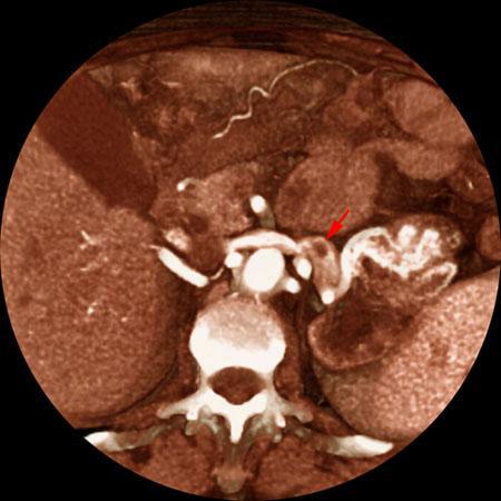
Tumor renal con trombosis venosa
VR seccional. Visión axial caudal. Defecto de replección en la vena renal izquierda (flecha) correspondiente a un trombo tumoral
Comentarios
Sin comentarios
Sé el primero en publicar un comentario


VR seccional. Visión axial caudal. Defecto de replección en la vena renal izquierda (flecha) correspondiente a un trombo tumoral