
20 / 20

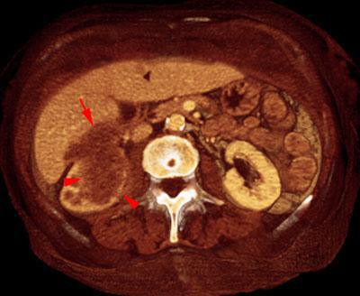
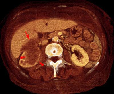
Metástasis renal de carcinoma broncopulmonar
VR seccional. Visión axial caudal. Metástasis en polo renal inferior derecho (puntas de flecha) con infiltración de fosa hepatorrenal y lóbulo hepático derecho (flecha)
Comentarios
Sin comentarios
Sé el primero en publicar un comentario