
15 / 20

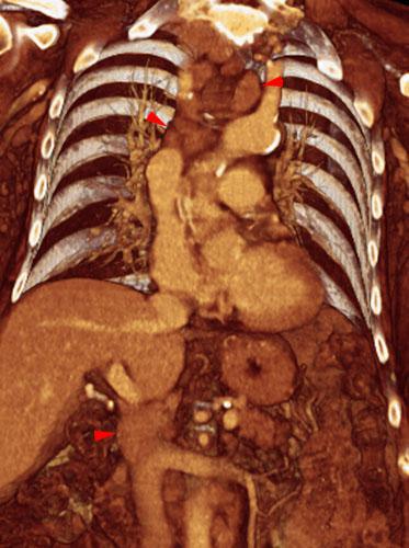
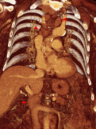
Linfoma renal secundario
VR seccional. Visión coronal anterior. Adenopatías mediastínicas superiores y retroperitoneal precava (puntas de flecha) formando parte del proceso linfoproliferaivo
Comentarios
Sin comentarios
Sé el primero en publicar un comentario