
14 / 20

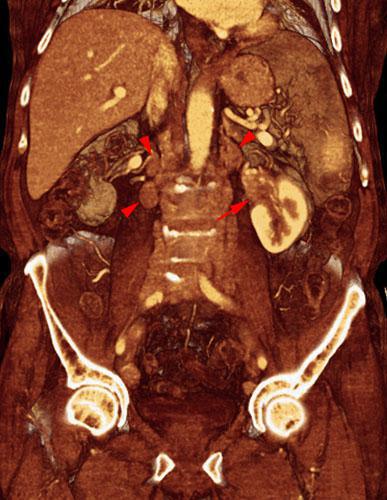
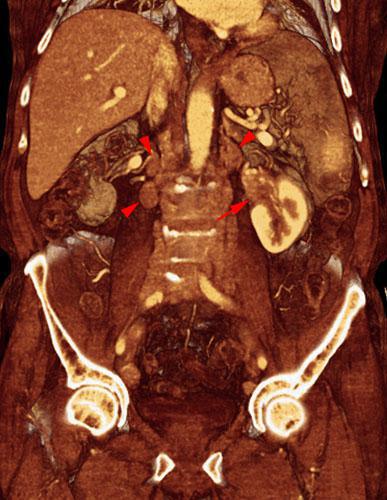
Linfoma renal secundario
VR seccional. Visión coronal anterior. Adenopatías retroperitoneales (puntas de flecha) paracavas y paraaórticas izquierdas. Infiltración secundaria del hilio renal izquierdo (flecha)
Comentarios
Sin comentarios
Sé el primero en publicar un comentario