
13 / 20

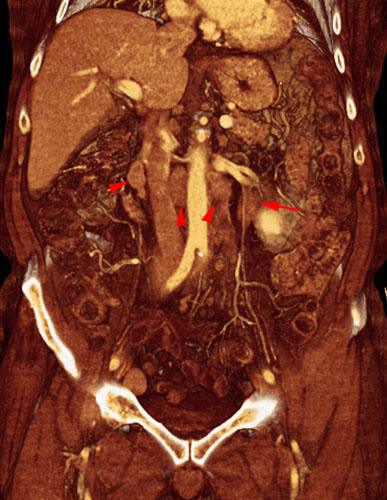
Linfoma renal secundario
VR seccional. Visión coronal anterior. Adenopatías retroperitoneales (puntas de flecha) en cadenas paracava derecha, interaortocava y paraaórtica izquierda. Infiltración secundaria del hilio renal izquierdo (flecha)
Comentarios
Sin comentarios
Sé el primero en publicar un comentario