
12 / 20

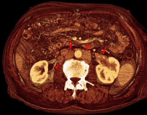
Linfoma renal secundario
VR seccional. Visión axial caudal. Adenopatías retroperitoneales (puntas de flecha). Infiltración secundaria del hilio y seno renal izquierdo (flecha)
Comentarios
Sin comentarios
Sé el primero en publicar un comentario