
10 / 20

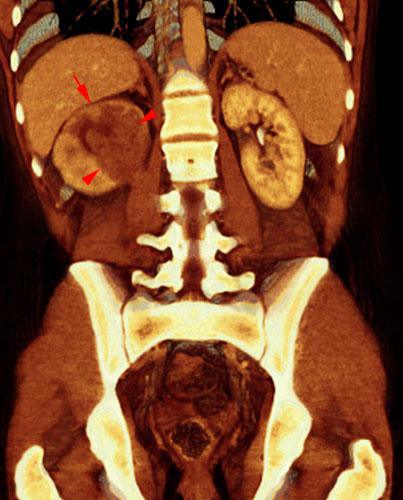
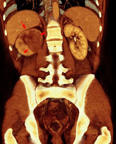
Carcinoma medular renal
VR seccional. Visión coronal anterior. Infiltración tumoral del seno renal (puntas de flecha). Disminución de la contrastación cortical (flecha) indicando infiltración vascular
Comentarios
Sin comentarios
Sé el primero en publicar un comentario