
9 / 20

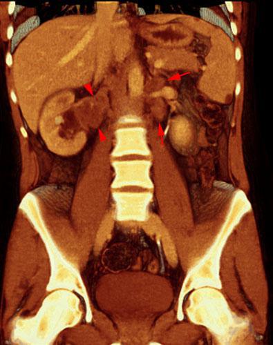
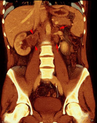
Carcinoma medular renal
VR seccional. Visión coronal anterior. Infiltración del hilio y pedículo vascular del riñón derecho (puntas de flecha). Adenopatías paraaórticas izquierdas (flechas)
Comentarios
Sin comentarios
Sé el primero en publicar un comentario