
8 / 20

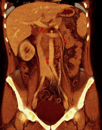
Carcinoma medular renal
VR seccional. Visión coronal anterior. Adenopatías retroperitoneales interaortocava y paraaórticas izquierdas (puntas de flecha). Obsérvese el desplazamiento lateral de la vena cava inferior
Comentarios
Sin comentarios
Sé el primero en publicar un comentario