
2 / 20

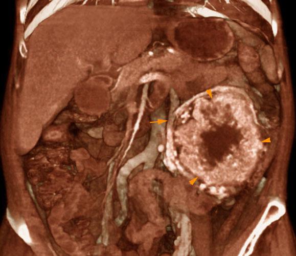
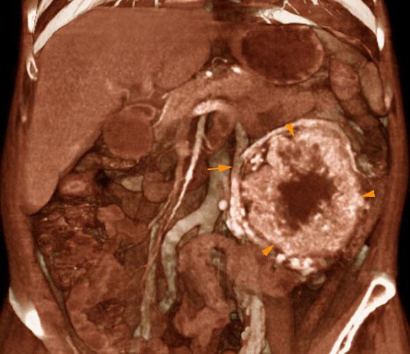
Hipernefroma muy vascularizado
VR seccional. Visión coronal anterior. AngioTC renal que pone de manifiesto una gran lesión tumoral (puntas de flecha) con vascularización venosa periférica, drenando en la vena mesentérica inferior (flecha)
Comentarios
Sin comentarios
Sé el primero en publicar un comentario